盐城市中医院成功救治食管异物穿孔患者

快报民生
2025-11-29

近日,盐城市中医院院胸外科、消化科、影像科、麻醉科等多学科合作,成功救治食管异物穿孔、食管纵隔瘘 、纵隔脓肿病人,患者近期已出院,恢复正常生活。

图片
图片

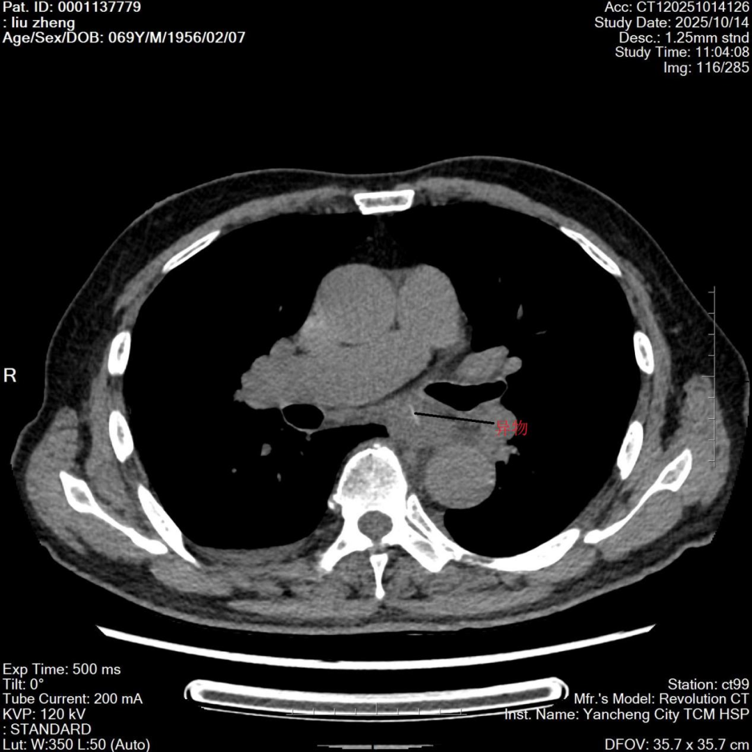
病人刘老伯(化名)进食鱼肉后胸骨后疼痛,发热二日余来我院检查。CT显示:患者食管中下段有鱼骨样异物,经过多学科讨论,考虑鱼刺周围目前无大血管,可尝试胃镜下取出,如出现困难,则胸外科接手进行手术治疗,手术非常顺利,鱼刺异物成功取出。经过精心治疗,病人体温逐渐降低,住院五天后复查食管周围水肿明显好转,经过医疗及护理团队精心治疗护理,刘老伯住院二周后正常进食,康复出院。

图片

患者影像资料

图片
图片
图片
图片
图片

供稿 | 刘海库


分享